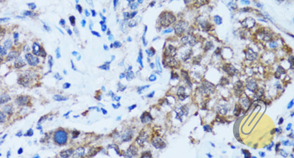
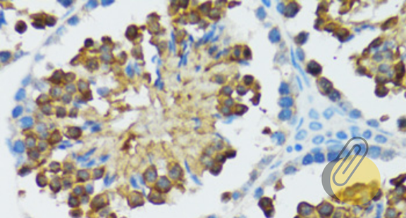
Applications: WB, ELISA, IHC-P, IF(IHC-P), IF(ICC)
Reactivity: Human, Mouse, Rat, Bovine, Pig, Chicken, Sheep, Rabbit, Others, Monkey

Conjugation: Unconjugated
Host: Rabbit

Synonyms: CPP32; SCA-1; CPP32B; Caspase-3; CASP-3; Apopain; Cysteine protease CPP32; CPP-32; Protein Yama; SREBP cleavage activity 1; CASP3


There are no reviews yet.